Our patients before and after Orthodontic Treatment.

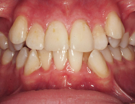
Adult patient with severe upcrowding of her upper and lower teeth, and eye-teeth that "stuck-out".

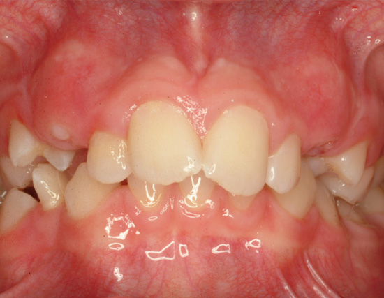
Close-up of adult patient with severe crowding of her upper and lower teeth, and protruding eye-teeth.

Patient after treatment for severe crowding of her upper and lower teeth, and protruding eye-teeth.

Close-up of adult patient's teeth after treatment. Upper and lower teeth are now properly aligned.

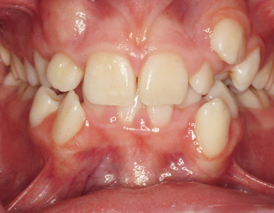
A teenage patient with severe upper crowding and an “under bite” (reverse overjet).

Close-up of teenage patient with severe upper crowding and an “under bite” (reverse overjet).

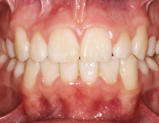
Teenager after treatment for severe upper crowding and an “under bite” (reverse overjet).

Close-up of teenager after treatment for severe upper crowding and an “under bite” (reverse overjet).

A teenager with severe upper and lower crowding, blocked out eye teeth and increased overlap of her upper and lower teeth (called a “deep bite”).

A teenager with severe upper and lower crowding, blocked out eye teeth and increased overlap of her upper and lower teeth (called a “deep bite”).

Teenage patient after treatment for severe upper and lower crowding, blocked out eye teeth and increased overlap of her upper and lower teeth.

Close-up of teenager after treatment for severe upper and lower crowding, blocked out eye teeth and increased overlap of her upper and lower teeth.

Teenage patient with pronounced protruding upper teeth and gap between front teeth.

Close-up of teenager with pronounced protruding upper teeth and gap between front teeth.

Teenage patient after treatment for protruding upper teeth and gap between front teeth.

Close-up of teenager's teeth after treatment for protruding upper teeth and gap between front teeth.

A teenage patient with severe upper crowding and protrusive upper front teeth.

Close-up of teenager with severe upper crowding and protrusive upper front teeth.

Teenager after treatment for severe upper crowding and protrusive upper front teeth.

Teenager's teeth after treatment for severe upper crowding and protrusive front teeth.